석회성 건염 치료
통증이 극심해지는 석회성 건염에 걸렸었는데 그 시작과 치료까지 정리해 보도록 하겠습니다.
목 차
1. 석회성 건염의 시작
2. 석회성 건염이란 ?
3. 석회성 건염 발생 원인
4. 석회성 건염 진단
5. 석회성 건염 치료
1. 석회성 건염의 시작
몇 년 전 여름부터 오른쪽 팔뚝과 같은 쪽 어깨 통증이 시작되었습니다. 특히 어깨를 돌릴 때마다 통증이 생기기 시작했고 잠을 잘 때 팔 저림이 심해서 잠이 깨는 날이 많았습니다.
여름엔 통증과 불편함이 다 였다면 겨울이 되자 팔을 올리거나 뒤로 빼서 외투를 입는 게 힘들 정도로 통증이 심하게 되었습니다. 오른쪽 어깨 통증이 심해지고 팔 저림도 심해져서 잠을 자기 어려웠고 일상생활이 큰 지장이 생겨서야 병원을 찾게 되었습니다. 일단 석회성 건염이라는 진단을 받았습니다.
2. 석회성 건염이란?
석회성 건염은 칼슘 퇴적물이 힘줄에 침윤되어 통증을 동반하는 질병입니다. 석회성 건염의 대표적인 부위는 어깨 관절이지만 사실 우리 몸 어느 힘즐에도 나타 날 수 있습니다. 어깨 관절의 경우 염증과 통증을 같이 발생시키는데 주로 30세 이상의 여성에게 발생 빈도가 높습니다.
석회성 건염이 발생되면 극심한 통증이 야기되는데 천천히 발생되거나 갑자기 발생하는 경우도 있습니다. 통증이 없는 경우도 있고 통증이 있지만 주원인이 석회성 건염이 아니라 다른 원인으로 발생하는 경우도 많습니다.
석회성 건염은 전석회화시기, 석회화시기, 후석회화시기 등 총 3개의 단계로 나뉩니다. 이 중에서 석회화 단계의 흡수기에 통증이 가장 심하게 됩니다.

3. 석회성 건염 발생 원인
석회성 건명의 발생 원인은 현재까지 명확하게 발견되지는 않았지만 나이가 어느 정도 들어야 발생되는 것으로 봐서는 힘줄의 퇴행성 변화와 미세 혈류 감소 등으로 야기되고 있다고 예측할 수 있습니다.



4. 석회염 진단
진료 담당 의사 선생님께서 아래의 진료 순서를 밟아서 어깨는 석회건염, 오른쪽 팔 상단은 근육염이라고 진단하셨습니다.
1) 통증 부위 및 운동 기능 관찰
먼저 아픈다는 부위를 만지고 눌러 보신 후 돌리는 운동, 올리는 운동 등과 더불어 여러 가지 포즈를 요청하시고 그때 그 때 통증 부위와 통증 정도를 체크하셨습니다.
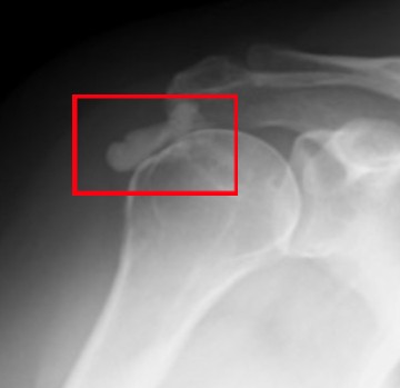
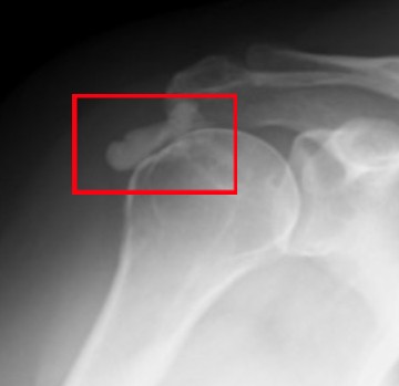
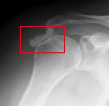
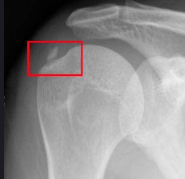
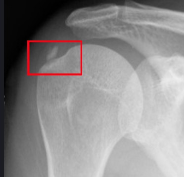
2) 엑스레이 촬영
어깨 부위와 오른쪽 팔 상단 쪽을 엑스레이 촬영을 하고 그 부분을 함께 보여주셨습니다. 엑스레이에는 어깨 부위에 뿌옇게 뭔가 보였는데 그게 석회라고 하셨습니다. 석회 덩어리가 커져서 어깨를 회전할 때마다 근육을 찔러 통증을 유발한다고 말씀하셨습니다.


일반적으로 뼈에서는 석회가 원래 나오고 나왔던 석회가 다시 뼈로 흡수되는 과정이 반복되는데 그 과정 중에 석회가 남고 흡수가 잘 안 될 경우 석회가 뭉쳐서 통증을 유발한다고 합니다. 사실 이렇게 뭉친 석회는 쉽게 흡수가 이루어지지 않지만 결국 아주 오랜 시간이 지나면 자연 흡수도 가능하다고 합니다. 다만 그동안 발생하는 통증이 문제인 것입니다.
오른팔 상단의 경우 근육염이 있어서 통증이 심했던 것 같다고 치료가 필요하다고 하셨습니다.
3) 수술
만일 동반된 다른 질병이 예상될 때에는 감별을 위해서 혹은 보존적 치료에 반응이 없어 수술적 치료가 필요할 때에는 추가적으로 MRI 검사를 요청받을 수도 있습니다.
체외충격파로도 상태가 호전되지 않는 경우 관절 내시경을 넣어 석회를 제거하는 수술을 하기도 한다고 합니다. 의사 선생님 역시 체외충격파로 안되면 수술을 할 수도 있다는 말씀도 해주셨는데 체외충격파나 수술이나 하루 이틀 만에 어깨를 움직일 수 있으므로 치료 자체가 어려운 것은 아닌 것 같습니다
5. 석회성 건염 치료
1) 석회성 건염 치료, 체외 충격파
석회성 건염 치료로 가장 일반적인 것은 체외 충격파입니다. 저도 물론 주 1회씩 체외 충격파를 총 4회 받았습니다.
석회성 건염 치료와 함께 물리치료도 함께 받았습니다. 약물 처방도 받아서 1주일간 약도 먹었습니다.
첫 석회성 건염 치료였던 체외충격파는 강도를 낮췄다고 하셨지만 꽤 아팠고 4회에는 강도를 높였다고 하셨지만 크게 아프지 않았습니다.
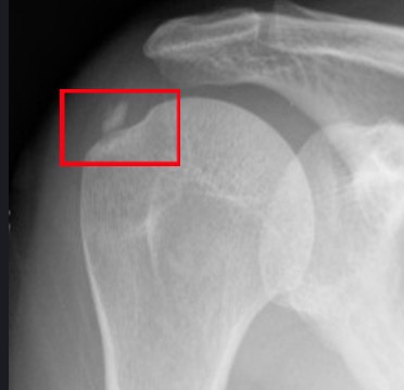
4회를 받은 후 다시 엑스레이를 찍었습니다.
첫 엑스레이에서 덩어리로 보이던 석회는 작은 조각으로 바뀌어 있었습니다. 의사 선생님께서는 여기서 체외 충격파를 해도 더 이상 사이즈가 줄어들 것 같지도 않고 조각이 충분히 작아졌으니까 이대로 자연스럽게 뼈로 흡수될 것이라고 알려 주셨습니다.


2) 근육 염증 치료
근육 염증은 초음파를 하면서 깊게 주사를 맞았습니다. 스테로이드 주사라는데 근육 깊숙이 주삿바늘을 넣어야 해서 주사가 꽤 아팠고 주사기의 크기가 비현실적으로 컸습니다. 근육을 헤집는 느낌이라서 맞은 후 이틀 정도 오른팔 상단 부분이 욱신 거렸습니다. 하지만 그 이후 통증이 없어서 편하게 지낼 수 있었습니다.
3) 석회성 건염 치료 물리치료
물리치료는 빨간 등 적외선 치료와 몸에 전기 패드를 부착한 전기치료를 받았습니다. 1회에 40분 정도가 소요되었는데 전기치료의 경우 강도가 조금만 높으면 몸에 좀 무리가 오는 것 같았습니다. 또 전기치료 패드를 부착해 놓은 곳이 벌겋게 부어오르기도 해서 2회부터는 전기의 강도를 낮춰서 치료를 계속했습니다.
모든 치료가 끝나고서 근육 염도 없어졌고 석회도 더 이상 팔을 돌릴 때 걸리지 않았습니다. 체외 충격파보다 석회성 건염이 더 아팠습니다. 저와 같은 증세가 있으신 분들은 꼭 석회성 건염 치료를 받으시길 바라며 글을 마치겠습니다.
프로폴리스 6000
호주 프로폴리스 6000 몸이 피곤하고 힘들다고 느껴졌을 때 여러분은 가장 먼저 무엇을 하십니까? 한국사람 대부분은 병원을 찾기 보다는 그 증상을 완화시켜주는 약이나 음식을 찾는다고 합니
extrafly100.com
공무원 건강검진비
공무원이건 아니면 공무원 준비를 하시는 분들은 여러 가지 복지가 궁금하실 것 같습니다. 오늘은 공무원 건강검진비에 대하여 알아보려고 합니다. 그전에 잠시 공무원이 되었을 때 필요한 공
extrafly100.com
'건강, 경제, 미디어, 상품 정보' 카테고리의 다른 글
| 소상공인 손실보상 새정부 급물살 (0) | 2022.03.10 |
|---|---|
| 공무원 봉급표 2022 (0) | 2022.03.09 |
| 미성년자 증여세 신고 (0) | 2022.03.05 |
| 프로폴리스 6000 (0) | 2022.03.03 |
| 근로자 휴가지원 사업 (0) | 2022.03.02 |



